Учены обнаружили способ замедлить рост агрессивного рака

pxhere.com
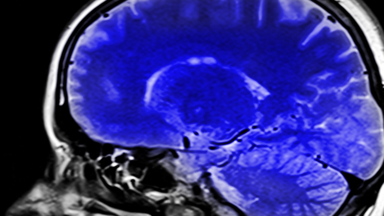
Глиобластома, один из самых агрессивных видов рака мозга, использует глюкозу не так, как здоровые клетки, что способствует её быстрому росту.
Согласно исследованию, опубликованному в журнале Nature, опухоль перенастраивает сахарный обмен и превращает глюкозу не в энергию, как это делают обычные клетки, а в строительные блоки для ДНК и РНК. Это позволяет раковым клеткам быстрее делиться и распространяться по организму.
Учёные использовали меченую глюкозу для отслеживания метаболизма у пациентов и мышей с опухолями. В нормальной ткани мозга углерод из глюкозы используется для работы нейротрансмиттеров и цикла Кребса, тогда как глиобластома отключает эти процессы и восполняет недостающие ресурсы из аминокислот, особенно серина.
Когда мышам давали диету с ограничением серина и глицина, рост опухоли замедлялся, а химио- и радиотерапия становилась более эффективной. Хотя это пока доклинические данные, они открывают новые пути для разработки диет и терапий, которые могут улучшить лечение глиобластомы.